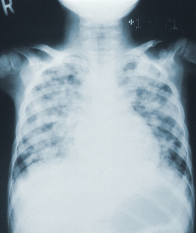
폐렴은 세균이나 바이러스에 의해 폐의 세기관지 이하 부위, 특히 폐포라 불리는 공기주머니에 발생한 염증을 말합니다. 폐의 정상적인 기능에 장애가 생겨서 발생하는 폐증상과 몸 전체에 걸친 전신적인 증상이 나타납니다.
과거에는 폐렴에 걸리면 죽음으로 가는 지름길이라고 말할 정도로 사망률이 높았다고 합니다. 폐렴으로 인한 사망자는 꾸준히 증가하고 있으며 특히 노인 사망에 미치는 영향이 크다고 합니다.



폐렴이 발생하는 원인은 세균이나 바이러스, 혹은 곰팡이에 의한 감염으로 인한 미생물에 의한 감염과 화학물질이나 구토물 등 이물질의 흡인, 가스의 흡인, 방사선 치료 등에 의해 발생하는 비감염성 폐렴이 있습니다.
세균감염 폐렴은 주로 폐렴 구균이 가장 흔한 원인이 되며 그 외에 항인플루엔자균, 구균등이 있습니다.
바이러스 감염 폐렴은 인플루엔자 바이러스와 호흡기 시티메갈로바이러스(RSV)가 주로 폐렴을 일으키는 바이러스입니다. 이러한 폐렴에 걸리면 어떤 증상이 나타나는지 폐렴 증상에 대해 알아보도록 하겠습니다.
폐렴 증상
1. 폐렴 증상 기침
폐렴의 가장 흔한 증상은 기침입니다. 기침은 건조할 수도 있고, 가래가 포함될 수도 있습니다.
2. 폐렴 증상 가래
폐렴은 가래를 유발할 수 있습니다. 가래는 녹색이나 노란색으로 나타날 수 있으며, 때로는 피가 섞일 수도 있습니다.



3. 폐렴 증상 호흡 곤란
호흡이 어렵거나 힘들 수 있습니다. 특히, 깊게 숨을 들이쉴 때 통증이나 불쾌감을 느낄 수 있습니다.
4. 폐렴 증상 가슴 통증
가슴의 통증이나 불편감이 나타날 수 있습니다. 이 통증은 폐렴이 발생한 쪽의 가슴에서 느껴지는 경우가 많습니다.
5. 폐렴 증상 발열
폐렴은 일반적으로 체온이 상승하게 됩니다. 38도 이상의 고열이 나타날 수 있습니다.



6. 폐렴 증상 피로
폐렴 환자는 일상적인 활동을 수행하는 데 어려움을 느낄 수 있으며, 피로감이 나타날 수 있습니다.
7. 폐렴 증상 기타 증상
몸살, 오한, 인후통, 두통, 구토, 설사 등의 비특이적인 증상이 나타날 수도 있습니다.
폐렴 치료
폐렴은 원인균에 따른 치료를 하며 항생제를 사용합니다. 원인균이 정확히 밝혀지지 않은 경우 세균성 폐렴으로 가정하여 항생제 치료를 하고 원인이 밝혀지면 그에 적합한 항생제로 변경합니다.
증상 초기에는 항바이러스제의 효과가 나타나나 시일이 경과한 후에는 항바이러스제의 효과가 미미해진다고 합니다. 증상이 가벼운 경우 통원치료를 진행하면 됩니다.






면역성이 떨어지는 아동환자, 노인환자, 중증질환을 앓고 있는 환자의 경우 입원 치료를 권장합니다. 보통 일반적인 경우 10~14일 정도 치료를 받으면 완쾌된다고 합니다.
폐렴 예방법
폐렴을 직접적으로 예방하는 방법은 없지만 정기적인 독감접종은 필수적이라고 합니다. 독감과 폐렴은 서로 다른 질병이긴 하지만 독감에 걸린 후 황색포도상구균의 의한 이차성 폐렴이 합병증으로 자주 발생한다고 합니다.
폐렴의 예방접종으로는 13가 백신, 23가 백신 두 가지가 있습니다. 13가 백신은 면역기억 반응을 유도해 평생 한 번만 맞으면 된다고 합니다.



23가 백신은 65세 이상의 사람들에게 보건소에서 무료 접종을 실시하고 있습니다. 13가 백신을 접종하고 8주 후에 23가 백신을 접종하면 효과가 가장 좋다고 합니다. 다만 23가 백신을 먼저 접종했다면 1년 후 13가 백신 접종이 가능하다고 합니다.
이상 폐렴 증상과 예방, 치료에 관한 포스팅이였습니다. 환자의 기본 건강 상태나 폐렴의 원인균에 따라 치료 경과가 다르다고 합니다. 패혈증이나 쇼크가 발생할 수 있고 심한 경우 사망에 이르게 까지 한다고 합니다.
폐렴의 직접적인 예방법은 없지만 기본 건강 상태가 중요한 질병인 만큼 항상 건강한 몸을 만들기 위해 적절한 운동과 식이를 병행하고 개인 청결에도 더욱 힘쓰면 좋을 것 같습니다.



비타민D 부족증상과 비타민D 하루 권장량 알아보기
한국인이 가장 부족한 비타민이 바로 비타민D입니다. 왜일까요? 비타민D는 햇빛을 통해 합성되는 자연 영양소입니다. 해가 가장 강렬한 낮시간에 외부활동이 거의 없는 바쁜 한국인들은 주로 직
fullfullblog.loveshjs.com
신장에 좋은 음식 모음
우리 몸에는 두 개의 신장이 있습니다. 신장에 문제가 생기거나 이식으로 인해 하나가 없어도 남아 있는 다른 신장이 정상이라면 살아가는데 큰 문제는 없습니다. 하지만 하나의 신장으로 두 배
fullfullblog.loveshjs.com
글루타치온 효능 피부 미백만? 진짜 핵심은 따로 있다!
글루타치온 효능 피부 미백만? 진짜 핵심은 따로 있다!
글루타치온은 우리 몸에서 생성되는 핵심 아미노산 중 하나로 강력한 항산화 작용을 하며 우리 몸에 다양한 생리적 기능에 관여해요. 우리 인체에서 아미노산은 단백질을 합성하고 면역체계를
fullfullblog.loveshjs.com